近日,我院骨外科一病区在医学3D影像打印中心配合下,借助3D数字建模技术,再次完成一例下肢复杂软组织恶性肿瘤切除。
患者男性43岁,既往20年前在某医院行左大腿根部肿物切除,当时未进行病理检查。10年前左大腿肿物复发,患者认为肿物切除术后仍会复发,所以一直未再进行治疗。直至6年前因左下肢深静脉血栓到我市某医院住院治疗,期间行左大腿肿物穿刺取病理,病理结果显示纤维血管瘤,医生建议患者进行手术治疗,但患者拒绝手术。

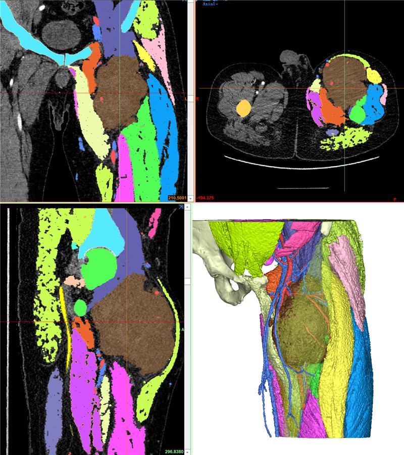
近年来患者左大腿肿物逐渐增大,遂就诊多家医院,得到的回答都是肿瘤长得太大了,肿瘤与股动静脉、股神经紧密接触,术中大出血风险非常大。患者抱着最后一丝希望来到我院门诊,当天骨外科一病区主任高文山接诊了该患者,详细了解病史及仔细阅片后,深知手术的难度,他向患者交代肿瘤周围重要神经、血管情况及术中风险,患者表示理解,遂住院进一步检查。根据前期处理复杂软组织肿瘤的经验,再次请我院科研处(医学3D影像打印中心)副主任张珂协助数字化3D图像建模。张珂根据患者的病情用3D建模技术分析图像后,才发现,患者肿瘤组织已将股动脉挤压变形,周围股静脉、股神经由于肿瘤的挤压显示不清,周围肌肉组织变薄,且股深动脉完全穿过肿瘤组织。术中对于股动脉的处理极为重要,稍有不慎可能血管破裂致大出血,因患者6年前深静脉血栓与肿瘤组织压迫静脉,导致静脉回流有关,如肿瘤进一步增大,可能导致股动脉血流障碍,影响患肢血运,严重致下肢缺血坏死,手术不做不行。

根据相关数据资料,高文山提前规划了患者术中体位及手术切口设计,术中肿瘤边界到瘤体血管分布情况及术中如何处理,尤其是对于股动脉的保护,术前数字化3D图像建模给手术提供了精准导航,重要动脉的走形甚至动脉小的分支也能清楚显现,为术中血管的处理提供了依据。

术前,高文山带领团队人员做足充分的手术准备,术中按照术前规划进行,可见股动脉穿过肿瘤组织,并严重粘连,仔细分离股动脉并保护……在大家的密切配合下,手术顺利完成,切除的肿瘤组织约1kg,手术也印证了术中情况与术前3D图像完全符合。术后病理显示,低度恶性粘液纤维肉瘤。现患者恢复良好,已痊愈出院。
文、图:骨外科一病区
编辑:董媛媛